REGISZTRÁLOK BELÉPEK

Megjegyez
10 legális nasi – vészhelyzetre!
542 1 1 Pink Izé
CrazyLime: Jesszus, ez egy gyulai étterem. És a képen is látszik, h Gyula. :) http://www.funpic.hu/hu.picvi [...]
Milyen barát vagy? – elárulja csillagjegyed
902 0 2 Pink Izé
CRaPtRaSH: tudtam hoyg nem embervagy :D
spider86: ez így látatlanba is biztos, hogy nagyon jó bari vagyok :D ez mutataja a tegnap este is.... úú [...]
Cikis problémák: puffadás, szájszag, izzadás
1164 0 4 Pink Izé
CrazyLime: Khmm... kimaradt, h "Tisztelet kivételnek"!
Derill: lime meg majd mingyárt rád sújt:D
Purple: :DDDDDDDDDDD
Mind a 4 komment
Öngyilkos lett Kurt Demmler, a pedofíliával vádolt német rockdalszerző
292 0 4 Pink Izé
spider86: kösz :) tudtam mindig is :P
CRaPtRaSH: olyan genyó vagy:D de igazad van azért :P
spider86: szerintem ránézel a fejére az minimum 3 év gázkamra és kettő év villamosszék :D echte moles [...]
Mind a 4 komment
Segítség! Az agyonplasztikázott Cher nemcsak gázul néz ki, de nevetségesen is öltözködik!
1018 0 1 Pink Izé
Éjfélilány: Öreg má' na, nem is nézhet ki úgy mint egy 20 éves, még akkor se ha ő ezt szeretné.
Bekattant!? A milliomos szupermodell beperelt egy hentest!
668 0 3 Pink Izé
jacqueline: ez durva xD de mondjuk akkor lett volna még durvább ha egy kolbászba harapott volna a képen!akko [...]
neomatsek: lehet szeretni vagy nem szeretni,de nem hiszem,h te örülnél annak,ha valaki a te fényképedet le [...]
brigi_cica: biztos azért perelte be mert szegény hentes azt sem tudta hogy ki ez a kurva :D :D én nagyon rüh [...]
Orlando Bloom félmeztelenül: hosszú, göndör fürtök és 3 új tetoválás
897 1 3 Pink Izé
Mammut: Együttérzek :DDDDDDDDDDDDDDDDDDD
TinusSs: Ezeken a képeken nem néz ki valami jól de amúgy tök jó pasi:D Jó mondjuk nekem akinek barna v [...]
brigi_cica: mindent a szmnek semmit annak a kibaszott rohadt kéznek aki oda adta magát valakinek... :D
CSÁBÍTS PARFÜMMEL!
456 0 0 Pink Izé
Február havi horoszkóp
639 0 0 Pink Izé
10 lépés a tökéletes randihoz
479 1 0 Pink Izé
Vegyél az interneten petefészket! - Mindig is vágytál egy játékhasnyálmirigyre? Vagy egy ölelgethető vesére?
1477 0 17 Pink Izé
meyasetareh: aranyos;) ennél már az lenne brutálisabb ha a szülő a gyereknek ilyet vesz :D
Loreley: Tényleg ennyire pihent elmék az emberek? De mondjuk a gyártósorokon biztos nem unatkoznak.
Derill: a bisztos-ért? :D
Mind a 17 komment
“Segítség, az apám alkoholista!”
419 0 0 Pink Izé
Mit tegyünk a narancsbőr ellen? – 7 lépésben
1111 0 8 Pink Izé
Derill: a kutyaharapást szőrivel elmélet értelmében, narancsbőr ellen...a narancs bőrét kell enni... [...]
Purple: woooooooo :O :|
Errtu: ja =] http://upload.wikimedia.org/wikipedia/commons/5/55/Tesseract.gif
Mind a 8 komment
14,528 sms-t váltott 1 hónap alatt = percenként kettőt!
978 0 5 Pink Izé
jacqueline: mi a sz*rról lehet ennyit pofázni? ráaádsul sms-be...
balazssss: egy számitógép segítségével lazán el lehet küldeni több ezer, vagy akár 10ezer sms-t akár [...]
Errtu: Gondolom nem napi 24 órát volt fenn, és tegyük fel, hogy azért evett is. (+ ilyesmi) Szóval ne [...]
Mind a 5 komment
Sztárok testvérei - felismered őket?
1445 0 1 Pink Izé
TinusSs: Pont a post képest találtam ki, de a többit nem.
A legnagyobb ellenségünk – Elektroszmog
396 0 0 Pink Izé
önismereti teszt: Milyen a kapcsolatod a testeddel?
2135 0 6 Pink Izé
TinusSs: Hát igen:D tiszta lelki kapcsolat mintha összelennénk kötve, sőtt még egyszerre is lépünk:DD [...]
Derill: szinte már már egyé olvadtok mi ?:D
TinusSs: Hát elég közel áll hozzám:DD
Mind a 6 komment
2009 éves horoszkóp
823 0 0 Pink Izé
Iszonyú! A múlt legborzasztóbb plasztikai műtétei - fotókkal
3026 0 5 Pink Izé
spider86: Brittanyért és Roseért kár volt :( szerintem ők amúgy is szépek voltak... most meg :S... a t [...]
papaluige: kár volt! éjjel felsírok............
bungle: Ez miért volt NSFW? Levettem róla...
Mind a 5 komment
Pikáns! Teri Hatcher lesmárolta Dr.House-t! Fotóval
1338 1 0 Pink Izé
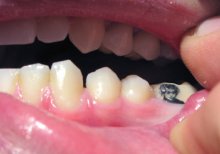
Készíttess fogtetoválást! Vadiúj divat Amerikából!
841 0 8 Pink Izé
süti: ja hogy mint mások igy is rohadhat a fogad....
Szamooca: ...nahát...azt hittem Japán...-.-" :D
orsyka_001: az lassan egyszerű...:D két összecsúszott mákszem és kész is:D
Mind a 8 komment
Rihanna lebukott! Most mi is van Chris Brown-nal?!
721 0 3 Pink Izé
Prüntyő: Pardon, Metropolita. Dehát persze, hogy onnan van.
Prüntyő: ((: Na ne bosszantsatok. Ha ez az a cikk lesz, ami a Metropolon jelent meg, akkor kikészülök. Ann [...]
eváj: Ki a faszt érdekel? :)
A szőrtelenítésről - okosan
710 0 0 Pink Izé
4 nap alatt lapos has! Szuper diéta!
1088 1 0 Pink Izé
Harisnya divat 2009 - Csábíts a hidegben is!
1004 0 3 Pink Izé
eváj: :D:D:D
Derill: jóvan nem kell a kamu:D
papaluige: bírom a harisnyákat! :) - mármint nőkőn! :DD
ARAB HOROSZKÓP
738 0 5 Pink Izé
Derill: kissádám mondta hogy van wellness horoszkóp is nem?:D
Purple: ez is bizonyítja hogy nagy hülyeség az egész :DD mindegyik mást mond akkor most melyiket "érde [...]
CrazyLime: Vagy lehetne Errtu horoszkóp is ! XD
Mind a 5 komment
Szégyen egyedül élni és gyermeket vállalni?
317 0 9 Pink Izé
orsyka_001: és akinek ez az életküldetése vagy mije? hogy tanuljon az apjából, aki ilyen volt..... lehet n [...]
Purple: de az ilyenek meg minek vállalnak gyereket??? hogy ugyanilyen legyen a gyerek és így tovább??
CRaPtRaSH: ok h megvan a gyereknek a joga. de van hogy jobb külön. h pl iszik az apa, vagy veri az asszonyt m [...]
Mind a 9 komment
Kellemetlen szájszag ellen – gazdiknak
676 1 1 Pink Izé
Balázs: a cicákról jut eszembe :$ http://funpic.hu/hu.picview.php?id=35483
Bódi Sylvi: "Olyan is volt, hogy átszeretkeztem a Szilvesztert"
1028 1 15 Pink Izé
NFS-fan: "nem álltunk vigyázzba a Himmnuszra" XD, a hapsi se? XDXD sajnálom
papaluige: ehh............pöszenyuszi!
Ártatlan-méz Előd: Köszi ;) Tény hogy van a médiában egy két qrvára felkapott olyan személy, akit (és aki mag [...]
Mind a 15 komment
Karácsonyi kísértet - Madonna ijesztően néz ki
843 0 4 Pink Izé
TinusSs: Pontosan... Balázs te meg eleve ne arra alpozz, hogy szép vagy sem, szép volt ő régen is biztos [...]
tian: Nem ijesztő csak 50 éves múlt...
Balázs: régen is csúnya volt szal segáz
Mind a 4 komment
“Szeretkezések, melyek megváltoztatták az életemet”
1401 0 8 Pink Izé
CrazyLime: Még nem "kezdtünk hozzá", de az 1 éves terve benne van, meg még előtt 1 esküvő is. ;)
Dott: Hajrá! Én azt olvastam,hogy nem szabad annyira akarni,mert akkor csakazértse jön össze! Csinál [...]
Dott: köszikösziköszi
Mind a 8 komment
Isteni házi libamáj 1 óra alatt - hogy csináld?
387 0 2 Pink Izé
Grex: csak az lesz az igazi aminek a külső része nem ég meg(én nem grillezném,de ez saját vélemén [...]
spider86: már csak qrva drága libamáj kell hozzá :D igazi koleszos kaja :P
Nagy válások, halálesetek, sztárbabák 2008-ban
604 0 0 Pink Izé
Öngyilkos lett a 24 éves ázsiai topmodell!
829 0 0 Pink Izé
Képek! Donatella Versace fürdőruhában 80 évesnek néz ki
1087 0 15 Pink Izé
Grex: ők így méregtelenítenek....mindent visszaöklendeznek ami nem elég trendi.....ezek éhenhalnán [...]
papaluige: ..sajnos.......
Grex: ...el van nekik...a média világa sűrű hányás kupacokkal van kirakva....
Mind a 15 komment
Amy kisimult, laza, mosolygós és kicsit meghízott
783 0 8 Pink Izé
Éjfélilány: Amúgy én itt a pinkizén láttam elöször ezt a nőt. Sose hallottam róla eddig, bár még most [...]
megtalált: jól néz ki? sose nézett még ki jól!
tüpp: terhes,de very csábos a mosolya ezen a képen,nem igaz?:Dkitől lenne terhes?jesszusom szülni fog? [...]
Mind a 8 komment
 Véget ért Ördög Nóri házassága!!!!
873 0 6 Pink Izé
Balázs: nem bántom a leendő feleségem :D
Errtu: Úthengerrel? :D
Purple: nem csak ott XD
Mind a 6 komment
Nem reinkarnálódik többé a ma 72 éves Dalai Láma?!
519 0 4 Pink Izé
orsyka_001: lila?
Derill: na mindegy...én következő életemben mókus akarok lenni
orsyka_001: Engem mindig vonzott a reinkarnálódás, de... igazából ebben a cikkben úgy beszélnek róla, mi [...]
Mind a 4 komment
“Harcolunk egymással a házasságunkban” - meglepő interjú Jay-Z-vel és Bee-vel
457 0 0 Pink Izé
Képek! Hogy néz ki ma az egykor gyönyörű Kim Wilde? És mi lett vele?
1093 0 0 Pink Izé
Régebbi postok...